五岁小朋友患蛀牙,其母说:孩子乳牙不用补?反正迟早都要换
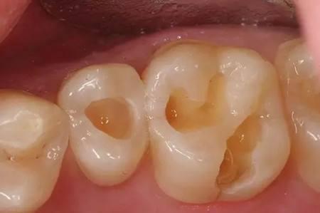
五岁的小瑶瑶(化名)特别喜吃蛋糕 , 虽然在妈妈的监督下每天早晚都坚持刷牙 , 但小朋友刷牙比较马虎 , 往往是匆匆了事 。 瑶瑶的妈妈李女士是个90后的年轻妈妈 , 初为人母 , 对于照顾孩子也是各种手忙脚乱 , 关注重点全在吃喝拉撒睡 , 口腔清洁却相对怠慢 , 渐渐地 , 瑶瑶有几颗牙出现了龋洞 。
----五岁小朋友患蛀牙 , 其母说:孩子乳牙不用补?反正迟早都要换//---- http:// //
因为乳牙迟早要换 , 李女士也没有太在意 。 没想到瑶瑶在幼儿园和小朋友打闹时不小心摔坏了门牙 , 李女士带女儿来就诊时 , 医生告诉她:瑶瑶的牙齿有几颗被龋坏了 , 需要赶紧修补!李女士特别不能理解 , 乳牙蛀就蛀了 , 有啥大不了的 , 反正再过两年牙齿都要换的 , 何苦现在补牙受罪?该不会是医生变着花样来赚钱吧?
----五岁小朋友患蛀牙 , 其母说:孩子乳牙不用补?反正迟早都要换//---- http:// //
其实有李女士这样想法的家长并不是少数 , 很多父母都认为:乳牙迟早是要被恒牙替换的 , 因此对儿童的口腔卫生往往不够重视 , 即使乳牙患了龋齿 , 只要孩子不说牙疼 , 家长都不会带孩子上医院治疗 , 这样的观点是非常错误的 。
- #春龙和宝宝#3岁女儿满口蛀牙,原因却不是糖果!家长的这些习惯才是“元凶”
- 父母成长俱乐部■我五岁,我希望你们这样和我谈论疫情
- 美琪蛋糕:小朋友爱吃家长心里美滋滋,过年做此菜倍有面子,天天囔着要
- 「娱会火」原创潘长江与八旬父母同框,曾自曝五岁得怪病,母亲伤心落泪自觉有愧
- 『大小海说娱乐』每天刷牙、从不吃糖的孩子长了6颗蛀牙,全因父母做错了这些事情
- 「爱宝育儿」原创五岁女孩性早熟,罪魁祸首都是因为经常喝这种东西,父母可别大意
- 孕研所■3~4岁的孩子就满口蛀牙,儿童蛀牙与饮食,以及个人卫生习惯有关
- 『育儿网官方号』孩子蛀牙别忽视,很可能是缺钙了
- 石河子微生活@明天起,将有大批家长和小朋友聚集到东四路!都是为了…
- [小鱼网]厦门家长警惕!小朋友超喜欢的这款零食出事了!吃起来像“吸粉”,孩子吃完还模仿!
