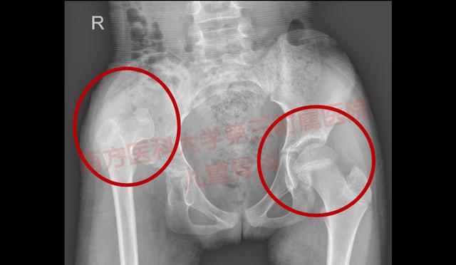
孩子长短腿7.5厘米,先天性髋关节发育不良导致跛行的原因是什么
双腿长度相差7.5厘米 , 是什么概念?银行卡的长度是8.56厘米 , 大家可以拿出来对比一下 , 再想象一下 , 双腿长度相差7.5厘米的孩子走路是什么样的 。
----孩子长短腿7.5厘米 , 先天性髋关节发育不良导致跛行的原因是什么//---- http:// //
是的 , 当我们在病房见到这个一瘸一拐走过来的小女孩 , 大家也都很惊讶 。
这个小女孩9岁多了 , 她的妈妈说 , 小时候走路的时候发现有异常 , 家里人都说小孩子小时候走路都这样 , 等长大了就好了 。 到了长大一些 , 发现情况没有好转 , 带她去当地医院看 , 医生告诉她孩子是先天性髋关节发育不良 , 当地医院的做不了小孩子的这种手术 , 便辗转来到我院求医 。 她告诉我们 , 以前她根本不知道有先天性髋关节发育不良这种疾病 。
多家长只知道孩子走路异样 , 但由于缺少对疾病的认识 , 没有意识到其可能导致的后果 , 耽误了治疗 。 那为什么先天性髋关节发育不良会导致孩子走路的时候一瘸一拐 , 甚至长短腿呢?
----孩子长短腿7.5厘米 , 先天性髋关节发育不良导致跛行的原因是什么//---- http:// //
- 「靠谱育儿说」孩子睡觉不老实别以为是热的!3种表现说明是脾虚,家长别搞错了
- #靠谱育儿说#告诫:别再给孩子吃豆浆油条了!3类早餐易伤脾胃,家长别不在意
- [樱桃育儿经]雨水过后,这3样东西要“扔掉”,很容易让孩子积食不长个!
- 『燕赵晚报』“他们都是生病的孩子,我会像照顾孩子那样去呵护他们!”
- 今日余庆@曝光!余庆的家长们请长点心吧,叮嘱你的孩子戴好口罩!
- 『育儿趣乐园』“黑名单”饮料成娃的最爱,3种饮料孩子经常喝,伤脾胃还不长个
- 每日说育儿知识■孩子免疫差,家长记好“不睡2觉,不吃2物”,强娃脾胃不生病
- 【育儿之百科全书】立春过后,又是“猛长期”,家长做好3件事,孩子蹿高一大截
- #育儿房间#原创儿童已成白血病高发群体:这些水果“隐患”,最好少给孩子吃
- [育儿房间]原创“妈妈,我蛋蛋疼”,本以为孩子只是磕到了,谁知差点出了大事
