深夜产房:出生一天的小宝宝吃奶就吐,原来,新生宝宝的食管断了
在我们医院的妇产科 , 夜班从晚上5点钟开始 , 到第二天早上8点结束 。
每一天的深夜 , 在产房 , 都发生着不同的故事……
“小红姐 , 你帮我看看 , 我们家小宝宝为啥一吃奶就吐?”
小任是昨天我们收治住院的临产妇 , G1P1, 孕 35+5 周 , 因为胎膜早破 5 天 , 昨天夜里顺产娩出了一名女婴 。 阿氏评分10分 。
因为不到足月就出生了 , 小宝宝的体重比较轻 , 还不到5斤 , 记得当时 , 我把小宝宝抱给小任时 , 小任看着瘦小的新生儿 , 笑着说:“没事 , 小红姐 , 我奶水多 , 肯定能让她营养足足的 , 很快就成一个大胖丫头 。 ”
没想到 , 新生儿从出生开始就总是哭 , 始终吃不进奶 , 小宝宝吸吮一两口乳汁后就开始呛咳 , 随即乳汁从鼻孔或口腔返流溢出 , 还出现呼吸困难 , 面色发绀 , 口吐泡沫 。
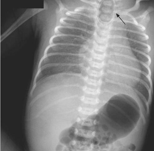
这可不是正常的现象 , 我们赶快把新生儿转入儿科治疗 。 转入后儿科给予了保暖、吸痰、留置胃管等处理 , 但在胃管留置中受阻 , 于口腔内迂曲 , 儿科主任潘医生再进行食管造影检查 , 检查医生发现小宝宝的食道没有连接到胃 , 到了中间居然中断了 。 潘医生判定 , 小婴儿得的是一种叫先天性食道闭锁的罕见病 。
----深夜产房:出生一天的小宝宝吃奶就吐 , 原来 , 新生宝宝的食管断了//---- http:// //
- #宝宝树#疫情下的新生宝宝:出生14天吸引百万粉丝,笑一下400万人点赞~
- 「长脖子爸比」宝宝出生后医院为啥要留下一个脚印?医生可能不会说,但你要清楚
- 靓妈美娃■不管关系多好,这"3种人"不能抱刚出生的婴儿,并非迷信
- 『小宋和小宝』“慌乱”奶爸走红网络,抱着刚出生宝宝如临大敌,笑翻一众网友
- #全知社会#婴儿出生半月多一家三口被确诊 母亲先治愈出院
- 「宝妈妈孕育家园」原创这种胎儿不常见!但是医生说出生后很聪明
- 母婴参考■矮个父母要想生出高个宝宝,孕期做好两件事,娃出生后“猛涨个”
- [春龙和宝宝]孩子出生时,体重越接近这个“数”,可能智力越“高”,不妨一看
- 『二胎常识』原创产房外数小时等待却迟迟不见宝宝,当夫妻接过宝宝时差点昏倒
- [育儿母婴汇]婴儿出生42天必做的5项检查 一个也不能漏!
