宝宝牙齿要护理好,不然后悔都来不及,分享这些牙齿洗护用品
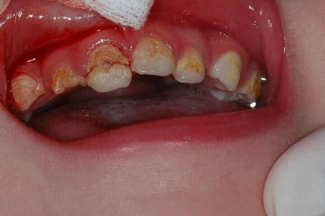
我是一个注重宝宝牙齿的妈妈 , 因为我儿子有奶瓶龋 , 先给大家介绍一下奶瓶龋吧 。 这是一种由婴儿睡眠时不断吮吸奶瓶而造成的龋齿 , 医学上成为奶瓶龋 , 又叫做哺乳龋 。 就是门牙的大面积龋坏 , 牙齿患龋后是不能自愈的也就是不能自己长好 。 由于乳牙的钙化程度低 , 因此患龋后病情进展迅速 , 破坏面积广 , 并且治疗效果差 。 因此积极预防是很重要的呀 。
----宝宝牙齿要护理好 , 不然后悔都来不及 , 分享这些牙齿洗护用品//---- http:// //
看到这些照片真的是触目惊心吧 , 我儿子在一岁的时候发现门牙上有轻微的黄斑 , 就在网上查了很多 , 又跑到了儿童医院问了 , 我知道就是奶瓶龋 , 因为他那会喂奶五六次 , 每次都要含上半个小时才放 , 一拿出来就哭 , 就是因为我的放纵才让他的牙齿坏掉了 , 所以现在真的是快后悔死了 。 希望大家在孩子长出乳牙之后尽量减少夜奶 , 千万不要含着奶瓶头或者乳头入睡!
- 「母婴和育儿」原创宝宝鼻腔深处有鼻屎,尝试各种方法后,最后这样做成功了
- 「母婴和育儿」原创宝宝和大人睡?给宝宝睡婴儿床?到底哪个选择才是对的?
- 【小思妈妈营养餐】脆到开口跪,真鱼真虾,宝宝吃多少都放心!
- 晓露爸爸@原创“红脸宝宝”火了,两个脸蛋红的像苹果,网友:不会是喝奶喝醉了吧
- #宝宝树#疫情下的新生宝宝:出生14天吸引百万粉丝,笑一下400万人点赞~
- #萌宠治愈师#宝宝哭了柴犬马上跑过来看,头却卡在了栏杆中,狗:可望而不可及
- #宝宝呵护#宝宝晚上老是翻身睡不好,其实是身体里缺这个!
- 【鲲鹏创意气球】宝宝宴现场气球如何布置
- 儿科医生鲍秀兰:90后男医生抱早产儿做袋鼠护理,大气都不敢出引网友夸赞:好暖啊
- 「长脖子爸比」宝宝出生后医院为啥要留下一个脚印?医生可能不会说,但你要清楚
