世界首例基因编辑婴儿诞生,智能人造人已经成为现实,免疫艾滋病
----世界首例基因编辑婴儿诞生 , 智能人造人已经成为现实 , 免疫艾滋病//---- http:// //
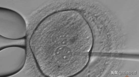
根据人民网报道的最新消息 , 就在几分钟前 , 一对双胞胎婴儿诞生了 , 名字为娜娜和露露 , 而这对双胞胎婴儿之所以不同之处在于 , 她们不是正常分娩诞生的 , 而是通过基因编辑而来的 , 也就是所谓的人造人;这对经过修改基因的的双胞胎 , 也是世界上首例能够一出生就天然免疫艾滋病的基因编辑婴儿 。
其实这次基因编辑婴儿的诞生一波三折 , 在2015年 , 当时世界上第一个在实验室进行人类胚胎基因编辑的时候 , 世界上其他的国家的科学家基本都持有反对的意见;受制于当时整体舆论的影响和波及 , 这次研究实验并没有再继续热潮下去 , 而是慢慢淡化在了大众的视野中 , 至少当时的情况时 , 没有任何一家组织宣布基因编辑婴儿的成功诞生 。
----世界首例基因编辑婴儿诞生 , 智能人造人已经成为现实 , 免疫艾滋病//---- http:// //
- 佳林母婴大世界■宝宝为什么晚上睡不稳觉?
- 小宋和小宝■有种“基因”叫姜潮麦迪娜,儿子才8个月,却自带“混血”特效
- 「春龙和宝宝」有一种“基因”叫姜潮麦迪娜儿子,8个月宝宝,长相神似洋娃娃
- #新华江西#孩子的治愈让世界多了一抹明亮的色彩
- 「猫与爱的世界」身为公(公)猫却母爱泛滥,每天坚持给4个孩子“喂奶”…
- 「悟演法师」爱,是有人愿意陪你走到世界的尽头
- 宝妈育儿微课■原创如果妈妈有这几种基因,将来孩子或许是“高颜值,”中了就恭喜了
- [狗与爱的世界]太忙没时间照顾孩子?“狗保姆”了解一下
- 「小官宣说世界」印度第一女巨婴:1岁体重45斤,一顿吃2斤米,如今过得怎样
- 「佳林母婴大世界」宝宝吞食异物易窒息,这种需要争分夺秒的时刻,学会这几招才有用(下)
